Результаты МРТ до и после лечения
Эти МРТ-снимки представляют собой результаты лечения пациентов в нашей клинике. На них видно полное или частичное уменьшение размеров грыжи.
Лечение межпозвоночной грыжи без операции
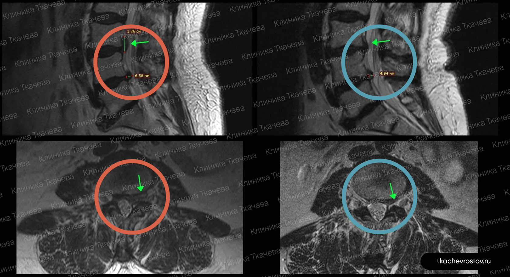
Грыжа в поясничном отделе L4-L5
Мужчина. Межпозвонковая грыжа в сегменте L4-L5 1.5 х 1.7 см с абсолютным стенозом позвоночного канала. Никакое лечение не помогло, отправили вначале к психиатру, а потом к нейрохирургу.
ДО:
- Интенсивная боль в пояснице, с эпизодическими прострелами
- Ограничение движений в пояснице
- Нарушения сна
- Снижение бытовой и социальной активности

ПОСЛЕ 1 курса:
✓ Наступила частичная резорбция грыжи
✓ Наступило улучшения общего состояния.

ПОСЛЕ 2 курса:
✓ Наступила полная резорбция грыжи
✓ Небольшое восстановление высоты межпозвонкового диска (регенерация пульпозного ядра)

Лечение грыжи заняло 8 месяцев. Было проведено 2 курса лечения по 12 дней.
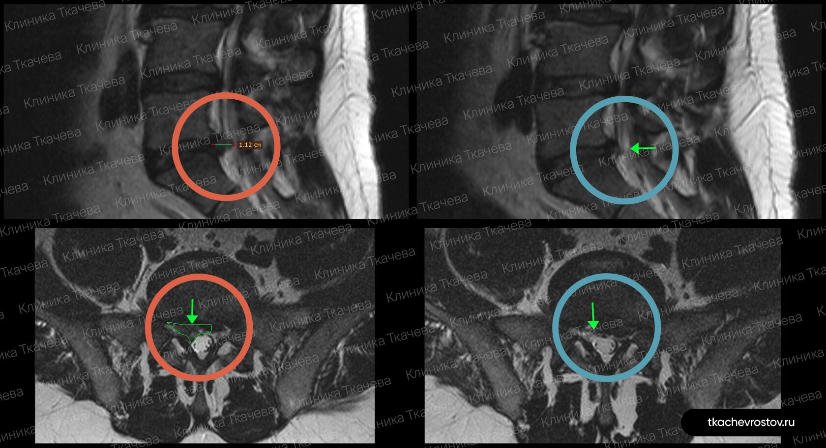
 Грыжа в поясничном отделе L5-S1
Грыжа в поясничном отделе L5-S1
Мужчина. Секвестрированная грыжа в поясничном отделе L5-S1 1.3 x 3.2 см. Невыносимая боль, хромота и критическое снижение нейропроводимости обеих ног. Никаких альтернатив кроме операции не предлагалось.
ДО:
-
Упражнения с физиотерапевтом и блокады
- Длительная отрицательная динамика
- Невыносимая боль
- Хромота и онемение пальцев ног
- Критическое снижение нейропроводимости обеих ног
- Потеря трудоспособности и ограничение жизнедеятельности

ПОСЛЕ 1 курса:
✓ Наступила полная резорбция грыжи
✓ Наступило улучшения общего состояния
✓ Регрессировали боль и онемение в ноге и пальцах

Пациент прошел 1 курс лечения (12 дней).
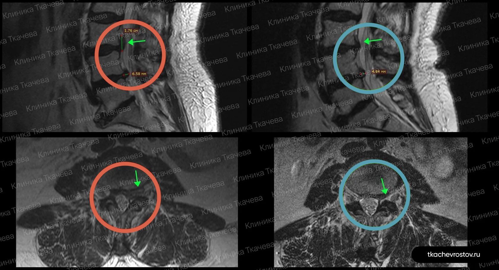
Лечение грыжи в поясничном отделе L4-L5 без операции
Грыжа в поясничном отделе L4-L5
Женщина. Грыжа в сегменте L4-L5 9 мм х 2 см. Невролог направлял на операцию, нейрохирург пугал отказом всех возможных систем жизнеобеспечения.
ДО:
- Боль в спине
- Онемение в левой ноге
- Снижение бытовой и социальной активности

ПОСЛЕ 1 курса:
✓ Наступила полная резорбция грыжи
✓ Наступило улучшения общего состояния.

ПОСЛЕ 2 курса:
✓ На 2022 всё стабильно.

Лечение грыжи заняло 5 месяцев. Было проведено 2 курса лечения.
Лечение грыжи в шейном отделе C6-C7
Грыжа в шейном отделе C6-C7
Женщина. Грыжа в шейном отделе C6-C7 1.8х0.8см. Из-за боли передвигалась по стеночке. Отказалась от операции по квоте – замена диска на имплант.
ДО:
- Больно дышать и говорить
- Какие-либо движения головы приносили жуткую боль
- Правая рука не слушалась, частично онемели ладонь и пальцы руки
- Обезболивающие, блокады, капельницы. Ничего не помогло
- Потеря трудоспособности и ограничение жизнедеятельности

ПОСЛЕ 1 курса:
✓ Наступила резорбция грыжи
✓ Наступило улучшения общего состояния
✓ Стала лучше работать правая рука
✓ Ушло частичное онемение
✓ Голова стала поворачиваться во все стороны
✓ Ушла выраженная боль и напряжение в шее
✓ Пациентка смогла сесть за руль

ПОСЛЕ 2 курса:
✓ Полная резорбция грыжи
✓ Восстановление всех двигательных функций
✓ Прекрасное самочувствие

Всё лечение заняло полгода (2 курса по 15 дней).
Грыжа в поясничном отделе L4-L5
Мужчина. Межпозвонковая грыжа в сегменте L4-L5 1.5 х 1.7 см с абсолютным стенозом позвоночного канала. Никакое лечение не помогло, отправили вначале к психиатру, а потом к нейрохирургу.
ДО:
- Интенсивная боль в пояснице, с эпизодическими прострелами
- Ограничение движений в пояснице
- Нарушения сна
- Снижение бытовой и социальной активности

ПОСЛЕ 1 курса:
✓ Наступила частичная резорбция грыжи
✓ Наступило улучшения общего состояния.
ПОСЛЕ 2 курса:
✓ Наступила полная резорбция грыжи
✓ Небольшое восстановление высоты межпозвонкового диска (регенерация пульпозного ядра)

Лечение грыжи заняло 8 месяцев. Было проведено 2 курса лечения по 12 дней.
Грыжа в поясничном отделе L5-S1
Мужчина. Секвестрированная грыжа в поясничном отделе L5-S1 1.3 x 3.2 см. Невыносимая боль, хромота и критическое снижение нейропроводимости обеих ног. Никаких альтернатив кроме операции не предлагалось.
ДО:
-
Упражнения с физиотерапевтом и блокады
- Длительная отрицательная динамика
- Невыносимая боль
- Хромота и онемение пальцев ног
- Критическое снижение нейропроводимости обеих ног
- Потеря трудоспособности и ограничение жизнедеятельности

ПОСЛЕ 1 курса:
✓ Наступила полная резорбция грыжи
✓ Наступило улучшения общего состояния
✓ Регрессировали боль и онемение в ноге и пальцах

Пациент прошел 1 курс лечения (12 дней).
Грыжа в поясничном отделе L4-L5
Женщина. Грыжа в сегменте L4-L5 9 мм х 2 см. Невролог направлял на операцию, нейрохирург пугал отказом всех возможных систем жизнеобеспечения.
ДО:
- Боль в спине
- Онемение в левой ноге
- Снижение бытовой и социальной активности

ПОСЛЕ 1 курса:
✓ Наступила полная резорбция грыжи
✓ Наступило улучшения общего состояния.
ПОСЛЕ 2 курса:
✓ На 2022 всё стабильно.

Лечение грыжи заняло 5 месяцев. Было проведено 2 курса лечения.
Грыжа в шейном отделе C6-C7
Женщина. Грыжа в шейном отделе C6-C7 1.8х0.8см. Из-за боли передвигалась по стеночке. Отказалась от операции по квоте – замена диска на имплант.
ДО:
- Больно дышать и говорить
- Какие-либо движения головы приносили жуткую боль
- Правая рука не слушалась, частично онемели ладонь и пальцы руки
- Обезболивающие, блокады, капельницы. Ничего не помогло
- Потеря трудоспособности и ограничение жизнедеятельности

ПОСЛЕ 1 курса:
✓ Наступила резорбция грыжи
✓ Наступило улучшения общего состояния
✓ Стала лучше работать правая рука
✓ Ушло частичное онемение
✓ Голова стала поворачиваться во все стороны
✓ Ушла выраженная боль и напряжение в шее
✓ Пациентка смогла сесть за руль
ПОСЛЕ 2 курса:
✓ Полная резорбция грыжи
✓ Восстановление всех двигательных функций
✓ Прекрасное самочувствие

Всё лечение заняло полгода (2 курса по 15 дней).
Грыжа в шейном отделе С5-С6
Женщина, работает в медицинской сфере. Полгода лечилась до нас консервативно, 3 нейрохирурга отправили на операцию.
ДО:
- Длительная отрицательная динамика
- Тянущие и простреливающие боли в шее
- Боль, онемение и прострелы в левой руке
- Онемение 4 и 5 пальцев руки
- Усиление боли при смене положения или при длительном сидении

ПОСЛЕ 1 курса:
✓ Наступила резорбция грыжи на 40%
✓ ушли стреляющие боли в шее и руке
✓ Онемение осталось только на подушечках пальцев
ПОСЛЕ 2 курса:
✓ Уменьшение грыжи более чем на 80%
✓ Все болезненные симптомы ушли

Пациентка прошла 2 курса лечения (по 12 дней).
Грыжа в поясничном отделе L5-L6
Женщина. Грыжа диска в поясничном отделе L5-S1 1.3 x 3.5 см. Начала лечение с мыслью: «хуже уже быть не может».
ДО:
- Длительная отрицательная динамика
- Невыносимая боль в спине и лопатке
- Не чувствовала левую ногу, ощущение ватности и одеревенелости
- Хромота и онемение пальцев ног
- Ниже колена нога опухала постоянно
- Передвижение с палочкой
- Потеря трудоспособности и ограничение жизнедеятельности
- Тяжелое эмоциональное состояние

ПОСЛЕ 1 курса:
✓ Наступило резорбция грыжи на 70%
✓ Наступило улучшения общего состояния
ПОСЛЕ 2 курса:
✓ Наступило полная резорбция грыжи
✓ Все неприятные и болезненные симптомы ушли

Пациент прошел 2 курс лечения (по 12 дней).
Рекордные сроки резорбции: 39 дней от последнего дня лечения.
Грыжа в поясничном отделе L5-S1
Женщина. Грыжа в поясничном отделе L5-S1 1,3 см. Невыносимая боль.
ДО:
- Боль спине
- Невыносимая боль в правой ноге и онемение
- Сложно ходить
- Потеря трудоспособности и ограничение жизнедеятельности

ПОСЛЕ 1 курса:
✓ Боль в ноге и онемение прошли
✓ Осталась незначительная боль в спине
✓ полная резорбция грыжи
ПОСЛЕ 2 курса:
✓ Прекрасное самочувствие

Всё лечение заняло 2 курса по 12 дней. Грыжа исчезла за 3 месяца. Второй курс был направлен на симптоматическое лечение.
Грыжа в поясничном отделе L5-S1
Женщина. Грыжа в поясничном отделе L5-S1 1,6х0,8 см. Парикмахер.
ДО:
- 7 месяцев безрезультативного разных видов лечения, от которых грыжа только увеличилась в размере
- Сильнейшие боли
- Не могла самостоятельно ходить, только с палочкой
- Отсутствие поддержки со стороны близких
- Потеря трудоспособности и ограничение жизнедеятельности
- Поставили инвалидность

ПОСЛЕ 1 курса:
✓ Начала самостоятельно ходить
✓ Симптоматика стала гораздо лучше
✓ Частичное уменьшение грыжи (примерно на 30%)
ПОСЛЕ 2 курса:
✓ Практически полное отсутствие неприятных симптомов
✓ Вернулась к нормальной жизни и любимой работе

Всё лечение заняло 3 курса по 12 дней. Последний курс был направлен на профилактическое лечение.
Отправьте МРТ исследование и получите экспертное мнение о возможности безоперационного лечения в нашей клинике